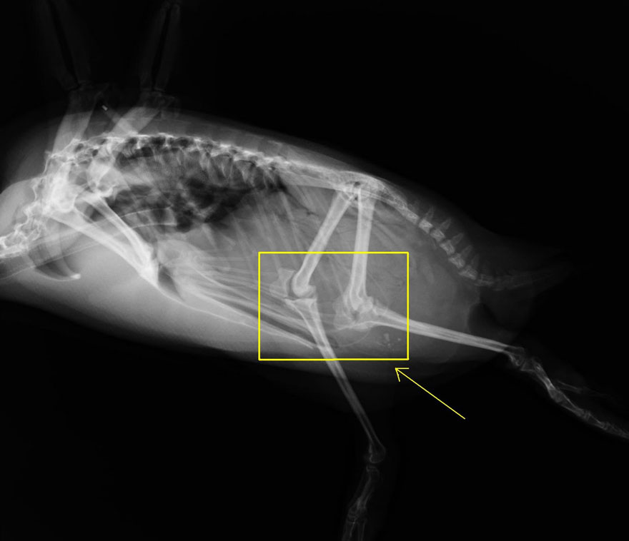
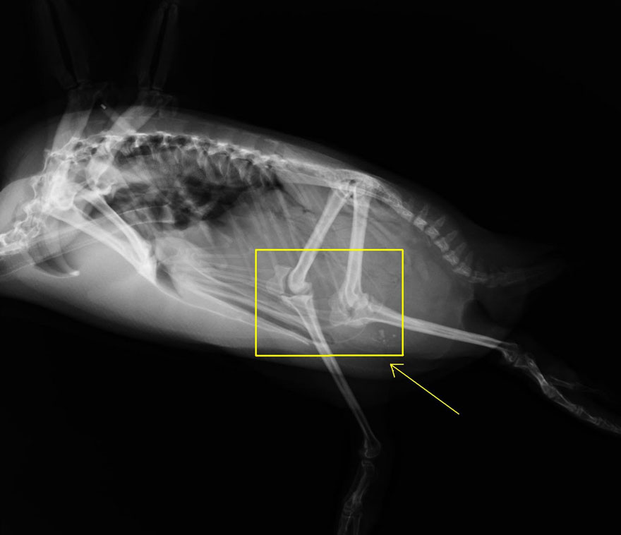
ROMA – Anche i pinguini hanno le ginocchia. Questi adorabili animali, hanno le stesse ossa delle gambe presenti nella maggior parte dei vertebrati bipedi. A differenza però degli altri vertebrati, parte di queste ossa sono coperte dalle piume.
Gli scienziati hanno stabilito che ai pinguini camminare costa molta più energia rispetto ad altri animali terrestri e hanno concluso che questo ha favorito il loro adattamento e la loro mobilità sott’acqua. In effetti, i pinguini sono dei veloci nuotatori eccezionali, che si nutrono di prede che vivono tutte sott’acqua.


