
La tenia nell'occhio
MIAMI – Sam Cordero, un uomo originario della Florida, al cenone natalizio ha consumato pietanze a base di carne cruda di maiale contraendo a sua insaputa la tenia cerebrale. Mesi dopo il pasto, Cordero ha iniziato a vedere delle macchie nere nell’occhio sinistro. Era il parassita che stava nutrendosi del cervello e si stava posizionando negli occhi: se il verme fosse morto in quel punto, l’avrebbe accecato.
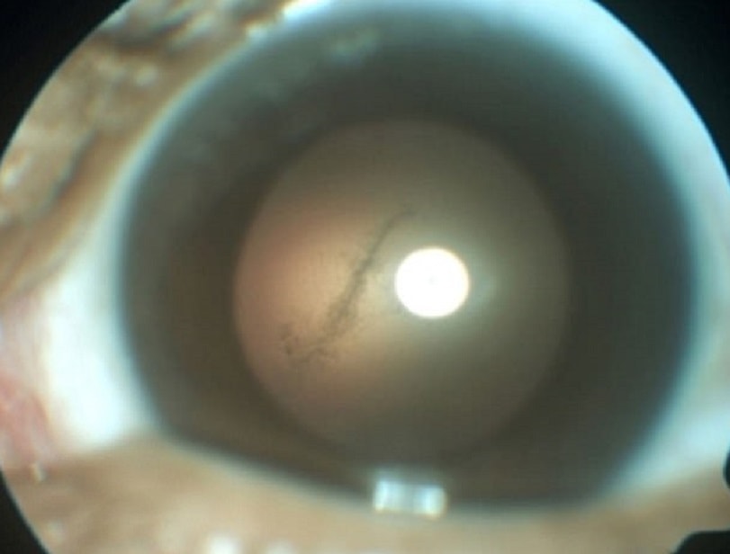
A salvare il cervello e la vita di Cordero è stato un oculista che attraverso un delicato intervento ha rimosso la tenia. Il pericoloso parassita Taenia solium si era depositato nella camera vitrea dell’occhio, lo spazio compreso tra la superficie posteriore del cristallino e la retina. “Vedevo una piccola macchia era nell’occhio sinistro, qualcosa che si muoveva da sinistra a destra. La luce del sole mi dava molto fastidio”, ha detto Sam a ABC Action News.
“Sospetto che il parassita si trovasse nella carne cruda di maiale ordinata per Natale”. La tenia, che può essere contratta mangiando carne di maiale cruda o poco cotta o il contatto con la materia fecale, si attacca di solito all’intestino tenue e nell’arco di due mesi si trasforma in un verme lungo anche otto metri. Se il parassita avesse deposto le migliaia di uova, le larve avrebbero potuto spostarsi fino al cervello di Sam col rischio di contrarre la cisticercosi, una malattia che può causare le convulsioni.


