
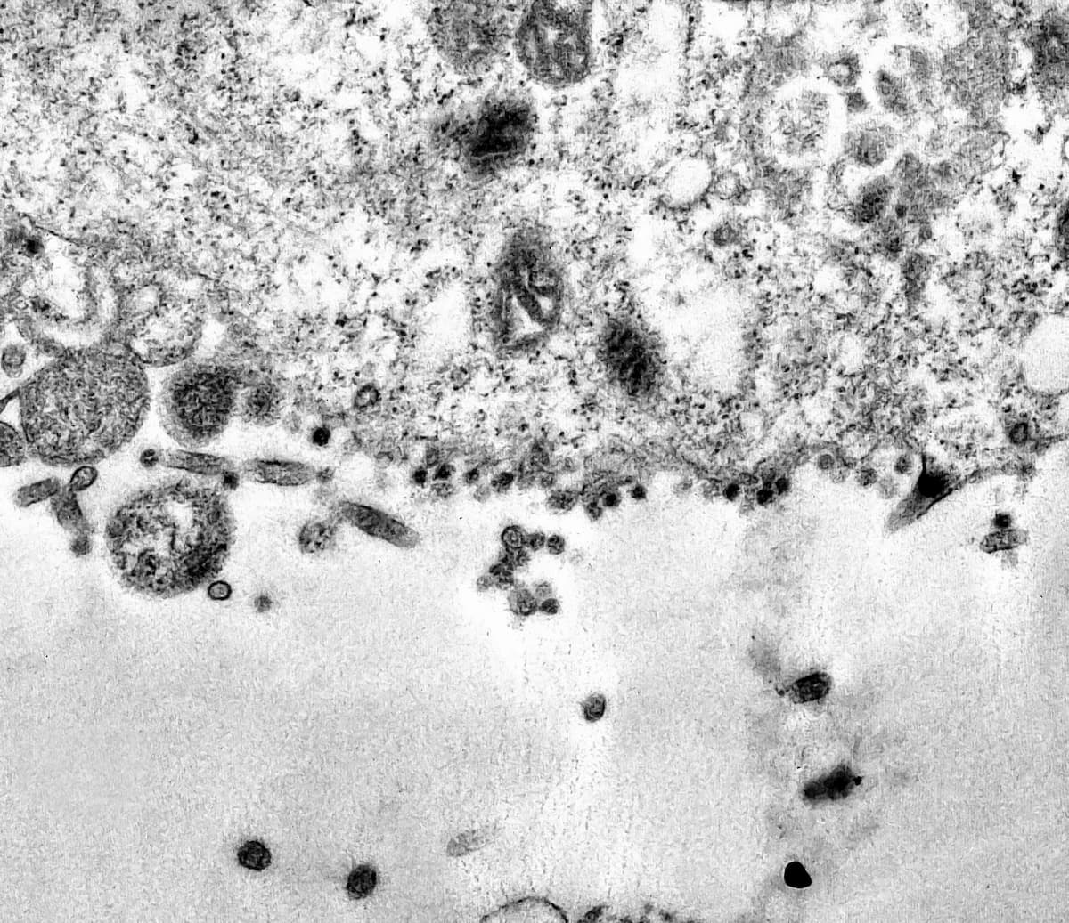
Coronavirus, fotografato il momento in cui il Covid-19 attacca le cellule (Foto Ansa)
SAN PAOLO – I ricercatori della Fondazione Oswaldo Cruz (Fiocruz) di Rio de Janeiro, in Brasile, uno dei centri di ricerca medica più grandi dell’America Latina, sono riusciti a fotografare il momento esatto in cui il nuovo coronavirus infetta una cellula.
Le immagini sono scattate al microscopio nel momento in cui gli scienziati stavano analizzando il processo attraverso il quale il Sars-CoV-2 si replica all’interno dell’organismo che ha infettato.
Le foto, spiega il quotidiano britannico The Telegraph, sono state scattate con un microscopio elettronico a trasmissione, in grado di ingrandire oggetti fino a due milioni di volti e hanno immortalato il momento dell’infezione delle cellule. Nelle foto si vedono alcuni punti scuri che sono le particelle virali dell’agente patogeno.
Gli scienziati della Fondazione Oswaldo Cruz hanno spiegato che le cellule utilizzate nello studio non erano umane ma di “vero lineage”, ovvero quelle isolate originariamente dalla scimmia verde africana che vengono usate regolarmente nelle colture cellulare in laboratorio per la ricerca scientifica.
Le foto arrivano nel momento in cui nel mondo si contano quasi un milione e mezzo di contagi e circa 90mila decessi. Gli scienziati di tutto il mondo stanno facendo una corsa contro il tempo per comprendere il virus in modo da realizzare un vaccino che possa fermare la pandemia. (Fonte: The Telegraph)
