NEW YORK – Gobba sulla schiena e tumori sul corpo: colpa dell’alcol. Una donna alcolizzata per 40 anni si è ritrovata una protuberanza sulla schiena e vari rigonfiamenti su tutto il corpo.
La donna, una americana di 64 anni come racconta il tabloid britannico The Daily Mail, era andata in ospedale perché non si sentiva bene: era in stato confusionale e aveva una forte debolezza muscolare. I medici in un primo momento non avevano capito che cosa avesse. Avevano perfino cercato su internet.
Alla fine hanno scoperto che la donna soffriva della deformità di Madelung, una patologia che normalmente interessa il polso, ma che nella donna si era estesa a tutto il corpo.
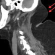
In particolare la paziente aveva dei rigonfiamenti sul collo e sulle braccia, oltre alla gobba pronunciata sulla schiena. Ai medici ha raccontato di aver iniziato a notare quelle protuberanze cinque anni prima, ma di non essersene preoccupata molto perché non le facevano male e non le interessava l’effetto estetico.
Ai dottori ha anche detto di essere stata alcolizzata per 40 anni, e di aver avuto l’ultima sbronza solo due settimane prima.
La deformità di Madelung, infatti, colpisce soprattutto le persone alcolizzate, anche se per lo più uomini piuttosto che donne. Questa patologia provoca dei tumori benigni chiamati lipomi che si formano soprattutto sulla schiena.
I medici del Brooklyn Hospital Center che l’hanno avuta in cura hanno detto di essere rimasti scioccati quando hanno scoperto la gobba sulla sua schiena:
“Ad una prima osservazione abbiamo notato diversi rigonfiamenti su tutto il corpo, attorno al collo, sulla parte superiore della schiena e delle braccia”.
Dopo aver parlato con la paziente questa ha ricostruito lo stato in cui si era sentita nell’ultimo anno, con i muscoli sempre più deboli, tanto che ultimamente non usciva più nemmeno di casa.
Gli esami del sangue hanno rivelato che soffriva di chetoacidosi, una rara ma potenzialmente letale condizione che si presenta nelle persone che soffrono di diabete di tipo 1. Dopo decenni di alcolismo la donna aveva sviluppato anche questa patologia.
Dopo aver analizzato i rigonfiamenti ed essersi assicurati che si trattava di tumori benigni, i medici hanno spiegato alla paziente che avrebbero potuto rimuoverli attraverso una operazione di liposuzione, ma che lei avrebbe dovuto astenersi dal bere in futuro. La donna ha accettato solo di non bere più, ma ha deciso di non sottoporsi all’operazione.


