MELBOURNE – Un uomo sudanese di 38 anni ha scoperto di aver vissuto con un verme lungo un metro nel piede per 4 anni. L’uomo, che vive a Melbourne in Australia, si era recato all’ospedale per uno strano gonfiore al piede. I medici hanno eseguito una radiografia e trovato “l’intruso“. Si tratta del verme della Guinea, un parassita che per 4 anni ha vissuto indisturbato nel suo piede, prima di morire e iniziare a decomporsi, causando il gonfiore sospetto.
Il Daily Mail racconta che l’uomo, ricoverato al Saint Vincent’s Hospital di Sydney, è rimasto decisamente sorpreso dalla diagnosi. Il sudanese era stato in Africa l’ultima volta 4 anni prima, per poi trasferirsi definitivamente in Australia. Il verme dunque era nel suo piede da ben 4 anni, senza che se ne rendesse conto.
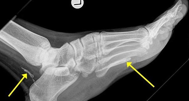
Jonathan Darby, medico specializzato in infezioni, ha notato dalle radiografie due pezzi di verme della Guinea, uno nel piede e uno alla caviglia. Questo verme, ha spiegato il medico, è un parassita che si annida generalmente nell’intestino, dove deposita le sue larve. Un processo che può richiedere anni, spiega il medico:
“Il parassita può sopravvivere nel corpo umano per anni oppure morire, decomponendosi e causando problemi e infezioni come accaduto per il nostro paziente”.
Dopo la diagnosi l’uomo è stato ricoverato e operato: i medici hanno così rimosso chirurgicamente tutti i residui di verme trovati nel piede.


